русский|українська|english
 

Операции

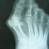
Пример №1 Ревматоидный артрит Пример №2 Артроскопическая операция пластики передней крестовидной связки
Пример №3 Удаление свободных тел из коленного сустава Пример №4 Магнитная томография (МРТ) помогает произвести диагностику сустава до операции
Пример №5 Эндопротезирование коленного сустава Пример №6 Ревизионное эндопротезирование коленного сустава
Пример №7 Вальгусная деформация первого пальца стопы Пример №8 Деформирующий артроз тазобедренного сустава
Пример №9 Эндопротезирование оскольчатого перелома головки правой плечевой кости со смещением Пример №10 МОС лодыжек
Пример №11 Подтаранный артродез при вальгусной деформации и артрозе подтаранного сустава Пример №12 Тотальное эндопротезирование левого коленного сустава по поводу остеоартроза 3 ст. Модель De Puy Sigma
Пример №13 МОС блокирующим стержнем Пример №14 Коррегигующая остеотомия бедренной кости при остеоартрозе коленного сустава
Пример №15 Коррегирующая остеотомия большеберцовой кости при артрозе коленного сустава Пример №16 Перелом левого бедра под ножкой эндопротеза
Пример №17 Тотальное эндоппротезирование коленного сустава моделью Де Пью "Сигма" после перелома большеберцовой кости и развития посттравматического остеоартроза Пример №18 Перелом проксимального конца локтевой кости, вывих головки лучевой кости.
Пример №19 Пластика передней крестовидной связки Пример №20 Ассептический некроз головки бедренной кости
Пример №21 Артроскопия голеностопного сустава Пример №22 Лечение деформации пальцев стоп (Галлюкс Вальгус) - операция остеотомия "шеврон"
Пример №23 Пластика кожи при ее дефекте более 2 лет с использованием техники дерматома и использования ФАКТОРОВ РОСТА Пример №24 Пластика ПХЗ
Пример №25 Хирургическое лечение остеохондроза Пример №26 Эндопротезирование плечевого сустава
Пример №27 Эндопротезирование суставов кисти Пример №28 Эндопротезирование тазобедренного сустава протезом с короткой ножкой Proxima и впадиной с головкой большого диаметра ASR
Пример №29 Эндоскопическое лечение Ахиллодинии Пример №30 Эндоскопическое удаление кисты Бейкера
  распечатать вверх  
  О себе Новости Виды лечения Операции Информация Оснащение Обратная связь  
 
MedLinks -    @Mail.ru     ? ,  ,     -  www.kilogrammov.net
 
 Сайт создан в студии ABC.NET.UA