русский|українська|english
 

Операции

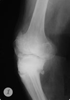
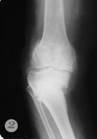
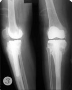
Пример №5 Эндопротезирование коленного сустава

1,2 до операции

3. после операции по эндопротезированию коленного сустава

  распечатать вверх  
  О себе Новости Виды лечения Операции Информация Оснащение Обратная связь  
 
MedLinks -    @Mail.ru     ? ,  ,     -  www.kilogrammov.net
 
 Сайт создан в студии ABC.NET.UA