русский|українська|english
 

Артродез при вальгусной деформации и артрозе подтаранного сустава

Пример №11 Подтаранный артродез при вальгусной деформации и артрозе подтаранного сустава

1. Рентгенография стопы - артроз подтаранного сустава

2. Спиральная компьютерная томография стопы - плосковальгусная деформация

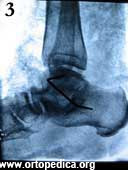
3. Рентгенограмма в боковой проекции после операции подтаранного артродеза

4. Рентгенограмма после операции подтаранного артродеза

5. Рентгенограмма через 2 месяца после операции подтаранного артродеза

Рентгенография стопы - артроз подтаранного сустава Спиральная компьютерная томография стопы - плосковальгусная деформация
Рентгенограмма в боковой проекции после операции подтаранного артродеза Рентгенограмма после операции подтаранного артродеза Рентгенограмма через 2 месяца после операции подтаранного артродеза
  распечатать вверх  
  О себе Новости Виды лечения Операции Информация Оснащение Обратная связь  
 
MedLinks -    @Mail.ru     ? ,  ,     -  www.kilogrammov.net
 
 Сайт создан в студии ABC.NET.UA