русский|українська|english
 

Операции

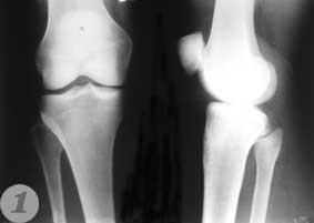
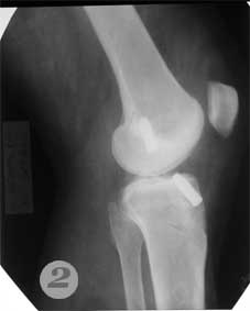
Пример №2 Артроскопическая операция пластики передней крестовидной связки

1 - до артроскопической операции пластики передней крестовидной связки коленного сустава

2,3 - после операции пластики передней крестовидной связки коленного сустава

  распечатать вверх  
  О себе Новости Виды лечения Операции Информация Оснащение Обратная связь  
 
MedLinks -    @Mail.ru     ? ,  ,     -  www.kilogrammov.net
 
 Сайт создан в студии ABC.NET.UA