русский|українська|english
 

Операции - эндопротезирование левого коленного сустава

Тотальное эндопротезирование левого коленного сустава по поводу остеоартроза 3 ст. Модель De Puy Sigma

1. Больной Д. рентгенограмма левого коленного сустава в боковой проекции. Диагноз - артроз левого коленного сустава 3 ст.

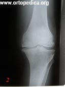
2. Больной Д. рентгенограмма левого коленного сустава в прямой проекции до операции. Диагноз - артроз коленного сустава 3 ст.

3. Больной Д. Состояние после тотального эндопротезирования левого коленного сустава по поводу остеоартроза 3 ст. Модель De Puy Sigma

  распечатать вверх  
  О себе Новости Виды лечения Операции Информация Оснащение Обратная связь  
 
MedLinks -    @Mail.ru     ? ,  ,     -  www.kilogrammov.net
 
 Сайт создан в студии ABC.NET.UA