Эндопротезирование коленного сустава
Эндопротезирование является эффективным методом лечения пациентов с дегенеративными заболеваниями тазобедренного сустава. Кроме того, эндопротезирование позволяет восстановить подвижность и облегчить болевой синдром у молодых пациентов с дисплазией тазобедренного сустава или посттравматическим артритом. Накопленный опыт тотальной артропластики тазобедренного сустава привел к более полному пониманию анатомии и биомеханики бедра, а также к новым достижениям в хирургической технике. Эти достижения послужили основой для разработки более эффективного инструментария и более совершенных конструкций имплантов, что способствовало улучшению клинических результатов
ЭНДОПРОТЕЗИРОВАНИЕ занимает одно из ведущих мест в лечении коленных суставов (КС). Данные зарубежной литературы свидетельствуют, что в эндопротезировании каждый год нуждаются около 200 пациентов из 1 миллиона населения. (Tennat A. et al.,1995). Это значит, что для Украины потребность составляет 10 000 операций по замене коленного сустава ежегодно. Главной целью тотального эндопротезирования коленного сустава (ТЕПКС) является полная реконструкция КС. До этого времени эндопротезы КС остаються компромиссом между существующими анатомическими формами суставов, технолого-экономическими возможностями производства и экономическими возможностями конкретной национальной системы охраны здоровья.
Тотальная замена коленного сустава (КС) - метод лечения тяжело деструктированных коленных суставов с высокой степенью успеха такой, каким мы его знаем в настоящее время, насчитывает 120 - летний опыт развития хирургической техники, биомеханических и материаловедческих исследований.
Целью его является самая полная реконструкция функции коленного сустава. Главные атрибуты: движение, стабильность и, конечно безболезненность. Менее проблематичен метод лечения деструктированного коленного сустава артродез, в результате которого выполняются только два главных условия; а так как нарушается движение, то это является для активного человека в современном обществе практически незаменимым.
 |
 |
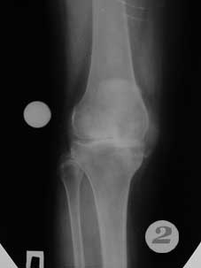
Рис. 1,2 - состояние до операции
 |
 |
Рис. 3,4 - после операции тотального эндопротезирования коленного сустава
примеры операций